
Well, today is Tuesday June 21, 2011 and that means two things. First of all, it has been exactly 17 months since my Invisalign treatment started. And secondly, it’s the first day of summer! But this article is not about summer unfortunately, it’s about my Invisalign treatment.
I initially did a six month report which can be found here. When my orthodontist told it was going to be 18 months, I was pretty excited but I’m now learning that the 18 months which as mentioned to me was an approximate time frame. I’m not too upset though as I know the end is very near…sort of. I still have to deal with the retainers once my teeth are positioned into their final resting place. One thing that did change in the last six months besides the awesome progress was the fact that I could now change my aligners every 10 days instead of the original 14 days. That actually helped speed up some of the movement of my teeth.
By changing to 10 days, I did have to deal with a tiny bit more pain and pressure but it only lasted for about a day and my minimal suffering was totally worth it. There is not much else to report and I haven’t had to deal with anything unexpected in my treatment over the last year. My orthodontist has taken new impressions of my teeth based on the 16 month (May 2011) progress of my teeth. Since May 2011, I haven’t worn new aligners. Instead of throwing away and getting a new aligner, I was asked to wear my current ones as a retainer until new aligners arrive based on the latest impressions that were taken. These impressions that were taken in May of 2011 will help make final adjustments and make any corrections that may be needed to help my teeth line up perfectly. As a matter of fact, I will be going in to pick up my latest set and hopefully last batch of aligners from my orthodontist later this week.
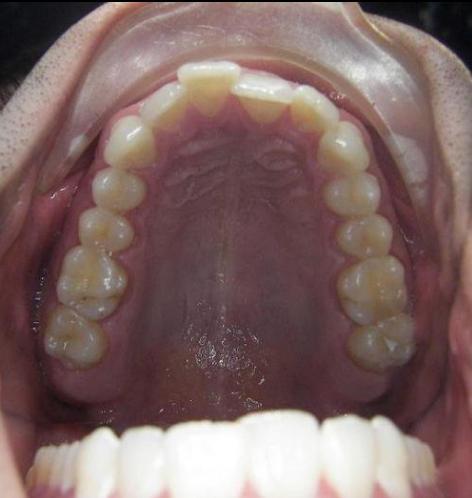
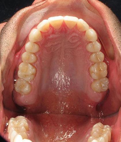
If you have any questions, feel free to comment below or send me a message. Now, let me show you the progress pictures over the last 17 months. You’ve already seen the “before treatment” picture above with the crooked teeth in the front. Below are the 6 month, 11 month, and 16 month progress pictures. I don’t have the 17-month progress pictures as they have not been taken yet. Once I have more pictures, I will make sure to post them. I will also do one final write when my teeth are perfectly straight.



If you are in the Vancouver area of British Columbia, be sure to look up Dr. Sam Daher. He is a premier provider of Invisalign and trains many of the orthodontists in the Vancouver area as well as giving speeches at conventions regarding the Invisalign technology.
